CASE HISTORY | I RISULTATI DEI NOSTRI PAZIENTI

CASE HISTORY
- Ortodonzia intercettiva (in età pediatrica)
- Grande rialzo del seno mascellare
- Riabilitazione implantare complessa
- Ortodonzia estetica fissa linguale
- Rigenerazione ossea con blocco
- Ortodonzia invisibile e protesi in area estetica
- Ortodonzia invisibile
- Impianto singolo a carico immediato
- Ceramiche integrali incisivi superiori
- Da protesi mobile a implantologia
- Ortodonzia, implantologia e protesi in area estetica
- Faccette ceramica integrale
- Otturazioni area estetica
- Impianto incisivo laterale immediato
- Protesi estetica
- Riabilitazione estetica dell'arcata superiore
- Impianti a carico immediato
- Smile Design
- Pre-visualizzazione
- Recessioni gengivali e ceramiche integrali
- VAI ALL'ARCHIVIO
Parla col medico
Contatta il dott. Angiola per una consulenza
o un appuntamento conoscitivo.
o un appuntamento conoscitivo.
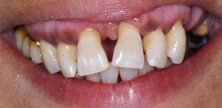
Impianti a carico immediato
La paziente si presenta con un quadro clinico di severa malattia parodontale su tutti gli elementi dentali superiori residui.
Dopo le opportune valutazioni cliniche, radiografiche e protesiche, si procede in un'unica seduta all'estrazione degli elementi dentali superiori oramai compromessi, al posizionamento degli impianti e alla cementazione del provvisorio, precedentemente realizzato.
Inoltre, dalla valutazione estetica pre-chirurgica, si evidenziava un sorriso gengivale marcato, risolto contestualmente al posizionamento implantare, accorciando la quota gengivale visibile.
Nelle fotografie è visibile il risultato ottenuto e la soddisfazione della paziente.
Photo gallery
clicca sulle immagini per ingrandirle




