CASE HISTORY | I RISULTATI DEI NOSTRI PAZIENTI

CASE HISTORY
- Ortodonzia intercettiva (in età pediatrica)
- Grande rialzo del seno mascellare
- Riabilitazione implantare complessa
- Ortodonzia estetica fissa linguale
- Rigenerazione ossea con blocco
- Ortodonzia invisibile e protesi in area estetica
- Ortodonzia invisibile
- Impianto singolo a carico immediato
- Ceramiche integrali incisivi superiori
- Da protesi mobile a implantologia
- Ortodonzia, implantologia e protesi in area estetica
- Faccette ceramica integrale
- Otturazioni area estetica
- Impianto incisivo laterale immediato
- Protesi estetica
- Riabilitazione estetica dell'arcata superiore
- Impianti a carico immediato
- Smile Design
- Pre-visualizzazione
- Recessioni gengivali e ceramiche integrali
- VAI ALL'ARCHIVIO
Parla col medico
Contatta il dott. Angiola per una consulenza
o un appuntamento conoscitivo.
o un appuntamento conoscitivo.
Ortodonzia invisibile e protesi in area estetica
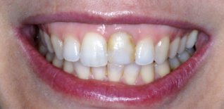
Incisivo centrale superiore di sinistra con riscostruzione in composito anti estetica, fortemente inclinato.
Redrizzamento incisivo tramite mascherine ortodontiche trasparenti.
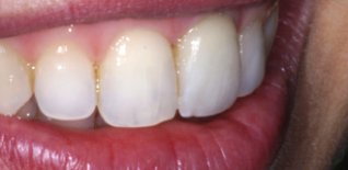
Finalizzazione estetica con ceramica integrale.
Photo gallery

Modelli studio prima del trattamento ortodontico

Modelli studio prima del trattamento ortodontico

Modelli studio prima del trattamento ortodontico

In fase di allineamento con mascherine trasparenti

In fase di allineamento con mascherine trasparenti

Allineamento ottenuto

Finalizzazione con corona in ceramica integrale dell'incisivo centrale di sinistra

Finalizzazione con corona in ceramica integrale dell'incisivo centrale di sinistra

Finalizzazione con corona in ceramica integrale dell'incisivo centrale di sinistra

Finalizzazione con corona in ceramica integrale dell'incisivo centrale di sinistra


