CASE HISTORY | I RISULTATI DEI NOSTRI PAZIENTI

CASE HISTORY
- Ortodonzia intercettiva (in età pediatrica)
- Grande rialzo del seno mascellare
- Riabilitazione implantare complessa
- Ortodonzia estetica fissa linguale
- Rigenerazione ossea con blocco
- Ortodonzia invisibile e protesi in area estetica
- Ortodonzia invisibile
- Impianto singolo a carico immediato
- Ceramiche integrali incisivi superiori
- Da protesi mobile a implantologia
- Ortodonzia, implantologia e protesi in area estetica
- Faccette ceramica integrale
- Otturazioni area estetica
- Impianto incisivo laterale immediato
- Protesi estetica
- Riabilitazione estetica dell'arcata superiore
- Impianti a carico immediato
- Smile Design
- Pre-visualizzazione
- Recessioni gengivali e ceramiche integrali
- VAI ALL'ARCHIVIO
Parla col medico
Contatta il dott. Angiola per una consulenza
o un appuntamento conoscitivo.
o un appuntamento conoscitivo.
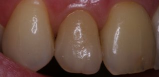
Impianto incisivo laterale immediato
Caso clinico di sostituzione di incisivo superiore laterale destro fratturato, con riassorbimento radicolare apicale.
L'elemento dentario, dopo l'estrazione viene immediatamente sostituito con un impianto dentario (impianto post-estrattivo a carico immediato) e contemporaneamente viene posizionato un provvisorio immediato per ottimizzare la guarigione dei tessuti gengivali, data la valenza estetica del settore.
Photo gallery
clicca sulle immagini per ingrandirle






